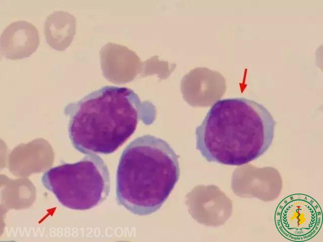
淋巴单核再识别——别再傻傻分不清楚  
上一张下一张
 
淋巴单核再识别——别再傻傻分不清楚15827
宜宾市第二人民医院 图文