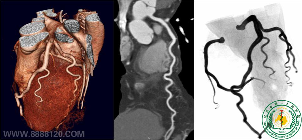
我院斥资千万引进宜宾地区及周边滇东北地区首台64排CT  
上一张下一张
 
我院斥资千万引进宜宾地区及周边滇东北地区首台64排CT1417
宜宾市第二人民医院 图文