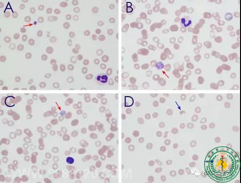
血小板计数阻抗法还是光学法准,有时真的不绝对!  
上一张下一张
 
血小板计数阻抗法还是光学法准,有时真的不绝对!14005
宜宾市第二人民医院 图文