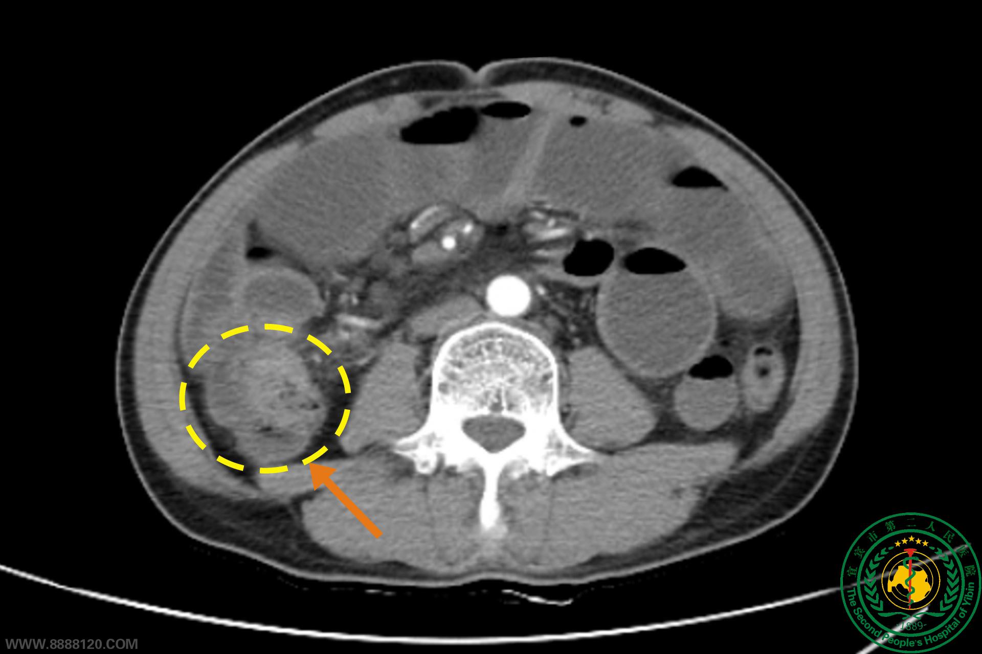
梗阻性结肠癌也可以做腹部无切口根治性手术  
上一张下一张
 
梗阻性结肠癌也可以做腹部无切口根治性手术54054
宜宾市第二人民医院 图文