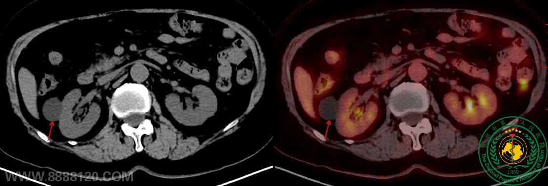
宜宾首例——华西宜宾医院核医学科顺利完成首例PET/CT检查  
上一张下一张
 
宜宾首例——华西宜宾医院核医学科顺利完成首例PET/CT检查52714
宜宾市第二人民医院 图文