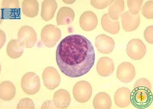
异型淋巴细胞您知多少?  
上一张下一张
 
异型淋巴细胞您知多少?14191
宜宾市第二人民医院 图文