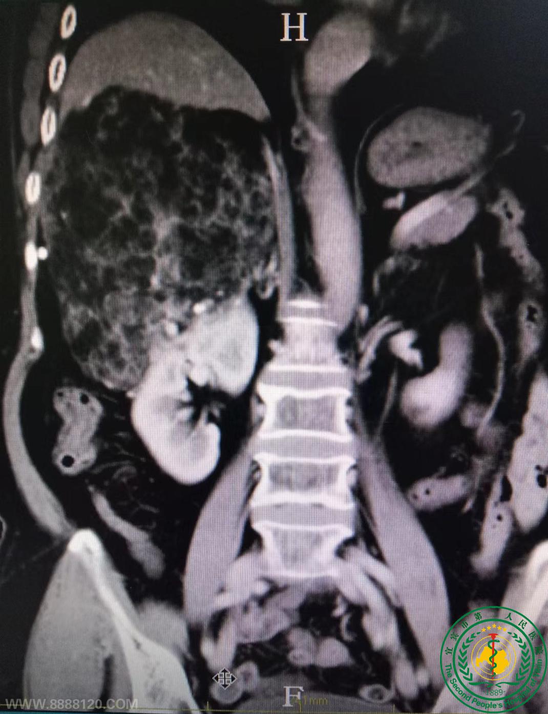
宜宾市第二人民医院泌尿外科顺利完成一例高难度肾部份切除术    
上一张下一张
 
宜宾市第二人民医院泌尿外科顺利完成一例高难度肾部份切除术  43770
宜宾市第二人民医院 图文