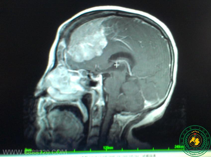
我科顺利完成颅内巨大脑膜瘤一例  
上一张下一张
 
我科顺利完成颅内巨大脑膜瘤一例5840
宜宾市第二人民医院 图文