2026年03月16日 星期一 [关闭窗口]    
请稍候...
 宜宾市第二人民医院  院内新闻 

胸心外科首次成功开展腹腔镜食管裂孔疝修补术  

上一条  发布日期:2017-07-02 11:26:29 点击次数:4176   下一条

 

627日,我院胸心外科杨朝坤主任医师、刘金鑫主治医师及麻醉科王桂林副主任医师成功为一名患者行腹腔镜食管裂孔疝修补、部分胃底折叠术。

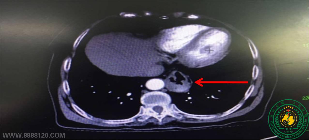
患者卓某,女性,67岁,因“反酸、嗳气伴上腹部胀痛不适3月余”入院,经检查确诊为:反流性食管炎、食管裂孔疝。术前杨朝坤主任医师多次查看病人并为其制定治疗方案,经科室讨论后决定为其施行创伤小、安全性高的腹腔镜下食管裂孔疝修补术、部分胃底折叠术,手术经过非常顺利,该患术后第2天进食,术后第4天出院,出院时反流症状完全消失,复查胸部CT提示食管裂孔区囊袋完全消失

食管裂孔疝(hiatus hernia)是指腹腔内脏器(主要是胃)通过膈食管裂孔进入胸腔所致的疾病,分为先天性和后天性两种,其中后天性多见于中老年人,主要与肥胖以及其他慢性引起腹腔压力长期增高有关,导致腹腔内胃囊通过食管裂孔向上凸入胸腔而形成食管裂孔疝。主要表现为反流性食管炎所引起的一系列症状,如胸骨后烧灼痛,常伴有反酸、嗳气、呼吸困难、吞咽困难等。

腹腔镜微创外科手术修补裂孔疝并行胃底折叠是治疗这种疾病最有效的方法,该术式符合生理特点,减少对心肺功能影响及开胸手术相关并发症,在国内只有少数医院开展此项手术。此例手术的成功开展表明我院胸心外科内镜微创技术诊疗范围进一步拓宽,为胸心外科创建省医学甲级重点专科添砖加瓦。

   

    术前CT诊断食管裂孔疝                  术中食管裂孔疝位置              术后食管裂孔疝消失  

本文作者:刘金鑫 [本条信息由 胸心外科 上传]

上一条:检验医讯201701—APTT纠正试验下一条:外科第三党支部开展“贯彻四川省第十一次党代会精神 党员怎么办”讨论活动