2026年03月23日 星期一 [关闭窗口]    
请稍候...
 宜宾市第二人民医院  院内新闻 

胃体间质瘤患者无切口手术康复出院后送锦旗  

上一条  发布日期:2021-07-28 10:32:16 更新日期:2021-07-28 11:03:29 点击次数:6984   下一条

725日一大早,一名患者家属来到胃肠外科学习室,将一面鲜艳的锦旗送到彭孟寅医生手中,感谢科室医护人员的精心治疗。

胃体间质瘤患者无切口手术后康复出院胃体间质瘤患者无切口手术后康复出院胃体间质瘤患者无切口手术后康复出院

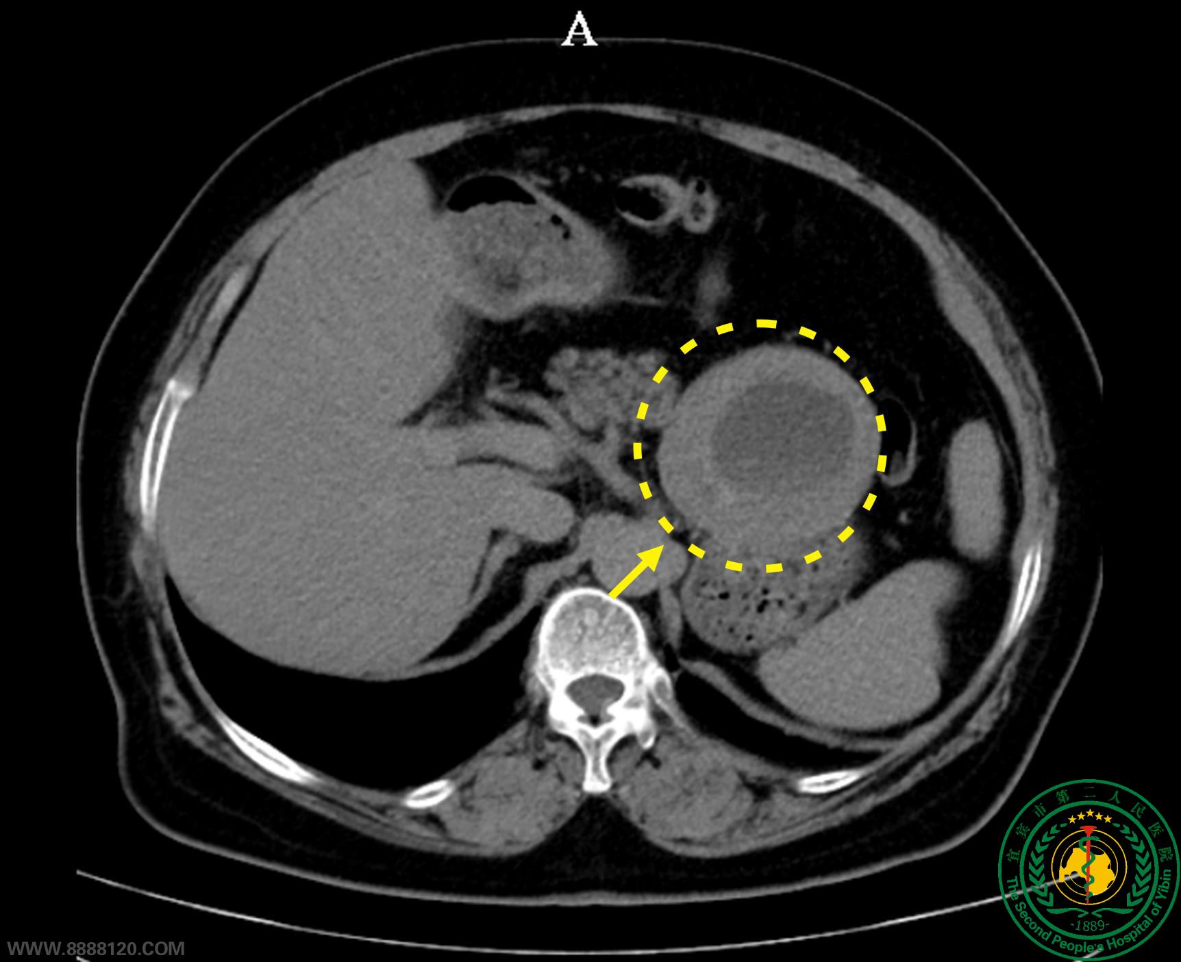
该患者74岁,体质指数BMI为32.6kg/m2(一级肥胖),因“发现胃周肿块1周”,经胃镜检查提示“胃体间质瘤”,于623日来我科治疗。CT检查提示:肿瘤位于左上腹(胃与胰腺、肾上腺之间),大小约8.0×7.1×7.9cm。经胃肠肿瘤多学科讨论后决定为其实施腹腔镜胃体间质瘤切除术。手术中发现患者肿瘤位于胃后壁,肿瘤多支血供且与胃左血管分支分界不清靠,与胰腺、肾上腺致密粘连。遂为其实施了完全腹腔镜胃体间质瘤切除、经自然腔道取标本术。术后在快速康复流程指导下,第2天恢复流质饮食、下床活动,第7天顺利康复出院。

文图:严丹檎 刘见

编审:吴淼


[本条信息由 胃肠疝外科 上传]

上一条:预防骨质疏松,做好这三件事骨骼硬如石!下一条:联合义诊送健康 服务苗乡老百姓——外科党总支建党100周年服务群众篇